Veneers
Do you want to achieve that perfect smile?
Want to boost your confidence & get back in front of the camera?
Process to Perfection
Leading Dental Practice in Adelaide
Our
Consultation
During our initial consultation, we will explore all options.
Test Drive
Your Smile
Test the look and feel of your veneers!
Digital
Technology
We use the latest technology – no need for old school moulds.
Payment Plan
Options
We offer various payments plans suiting your needs

Welcome to Incredible Smiles
At Incredible Smiles, we are passionate about helping our patients optimise their oral health and achieve stunning smiles that they can be proud of and feel confident. Dr Anisha and Dr Mitesh Sanghavi and their entire team of professionals believe in providing comprehensive dental care in a sleek, state-of-the-art practice.
Adelaide’s leading dental practices are here to serve you.
Woodville Park | Munno Para West | Angle Vale | Seaford Meadows | Hillcrest
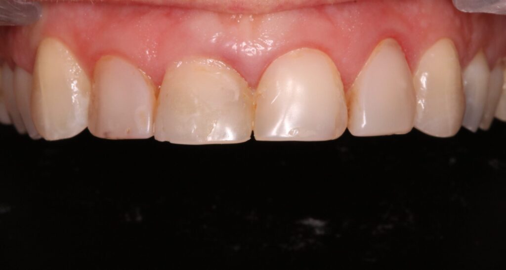
Dental Veneers - Incredible Smiles
Dental veneers at Incredible Smiles can you give you an A-list celebrity smile by enhancing appearance of tooth shape, size, colour and alignment.
Veneers are bonded onto the front of teeth to address multiple dental imperfections, such as:
- Badly stained teeth.
- Chipped teeth.
- Worn dental enamel.
- Uneven tooth edges.
- Misshapen teeth.
- Small gaps between teeth.
- Minor cases of crowded or crooked teeth.
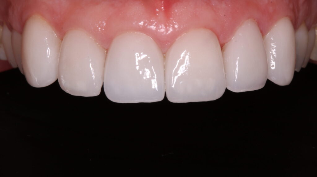
Incredible Smiles provides two types of dental veneers in Adelaide – porcelain or composite.




Porcelain Veneers in Adelaide
Porcelain veneers are ultra-thin tooth-coloured shells that are attached to the front of teeth. They look natural because they’re semi-transparent and react to light in the same way as tooth enamel. They’re also durable, lasting 15 years or longer.
Advances in dental veneer technology have made porcelain veneers at Incredible Smiles dental practice thinner than ever, which avoids excessive trimming of enamel.
Porcelain Veneers Procedure
The process of getting porcelain veneers takes a few weeks and typically requires two appointments. Your Incredible Smile cosmetic dentist will:
- Take an impression of your mouth.
- Remove a small amount of dental enamel.
- Fit temporary veneers to protect your teeth.
- Have your permanent veneers made in a dental lab from the impression of your teeth.
- Bond the permanent veneers to your teeth.
Composite Veneers in Adelaide
If you choose composite veneers at our Incredible Smiles dental clinic, layers of composite resin will be applied directly to your teeth. The plastic resin is then moulded to the desired shape.
Composite veneers typically last about five years. They’re less costly than porcelain veneers, and are often used as a quick fix for minor dental flaws.
Composite Veneers Procedure
Composite veneers at Incredible Smiles can be applied in a single visit. The procedure is as follows:
- Removal of a thin layer of dental enamel, if necessary.
- Etching the tooth to help with adhesion.
- Application of adhesive.
- Application of the composite material in layers.
- Hardening the composite with a special light.



Which Veneers Are Right for You?
If your teeth are healthy but spoiling your facial appearance, dental veneers at Incredible Smiles could well be the perfect solution.
Porcelain veneers resist staining better than composite veneers and will be a good option if you’re looking for long-term results.
We can help you choose the right type of veneers to perfect your smile.
